Objetivo. Mejorar el proceso actual de fabricación del TPV
Nuestro cliente, un centro tecnológico, quiere mejorar el proceso actual de fabricación de uno de sus materiales de termoplástico vulcanizado (TPV) compuesto por una mezcla de polipropileno y EPMD. El objetivo final de nuestro cliente es comprobar si si la realización de cambios en los parámetros de producción, puede dar lugar a materiales TPV de mayor calidad.
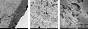
Solución. Caracterizamos por TEM y AFM
El primer paso fue la selección de la técnica más adecuada para estudiar el termoplástico. En este caso concreto elegimos la microscopía de transmisión electrónica (TEM) y la microscopía de fuerza atómica (AFM).
La primera de las técnicas que utilizamos fue la microscopía de transmisión electrónica (TEM).
Gracias a la resolución nanométrica al medir con esta técnica, podemos diferenciar elementos físicos y composiciones químicas de puntos nanométricos del material.


Después, utilizamos la microscopía de fuerza atómica (AFM y realizamos un corte de crioultramicrotomía, cortando la muestra a -110ºC. El objetivo fue conseguir la mayor planitud posible, para permitir que la interacción vibracional de la punta de medida del AFM experimentará una medida continua en la superficie, y como consecuencia, diera lugar a medidas con la menor variabilidad posible. Tras ello, realizamos un análisis de la topografía y de la fase de los materiales presentes en tres zonas diferentes de la zona y a tres aumentos diferentes, lo que permitió, de forma aleatoria y reproducible para cada muestra, evaluar la distribución de las partículas de EPDM embebidas en la matriz de PP.
